Sinclair's Portfolio

Projects

Projects

Tumor Detector

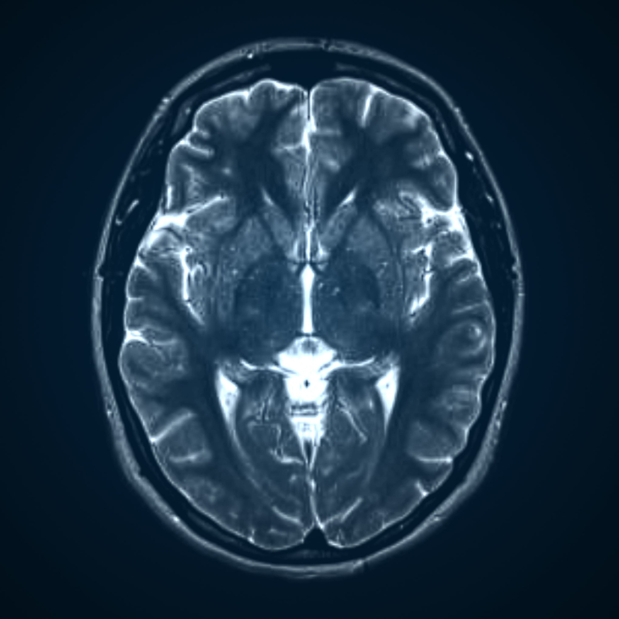
Using the PyTorch,timm, matplotlib, and numpy libraries, I made a ML program that detects gliomas, meningioma, and pituitary tumors in MRI scans. This program trains the model using over 5000 images. I presented this at the STEAM @ Schoolcraft conference, showing how AI is used to positively impact the medical field and received first place for my work.

Tumor Detection

DoUbLe PeNdUlUm

Built an interactive double pendulum simulator using p5.js, allowing users to input custom values for lengths (L1, L2) and masses (m1, m2), and visualize up to 150 pendulums simultaneously. This project serves as a visual companion to my research in Chaos Theory, demonstrating sensitive dependence on initial conditions and nonlinear dynamics.

Try it Out!

Population Logo

The is a data analysis project I made in Python. A world population dataset is used as input, and I utilized libraries like matplotlib, numpy, pandas, and folium to create graphs/maps of the data.

Population Repo

Weather Logo Logo

This is a weather application that I coded in Python. It uses the OpenWeather API to retrieve current weather data. After the user inputs a city, the weather is displayed with an emoji. This program introduced me to PyQt5 and APIs. My goal going forward with this project is to expand it to a 7-day forecast. It would also be fun to implement precip maps.

Weather App Repository